Instrument Removal
Case 1
Treatment of tooth 11 (a) Pre-operative radiograph (b) Crown vertically sectioned and removed (c) Exposure of the underlying indirect cast post (d) Coronal aspect of the cast post is reduced to free it from the supporting tooth tissue. The post was removed using ultrasonic vibration (e-f) 16mm fractured instrument removed using a syringe tip and GIC cement (g) Working length radiograph (h) MTA apical plug (i) Fibre post and core.

Case 2
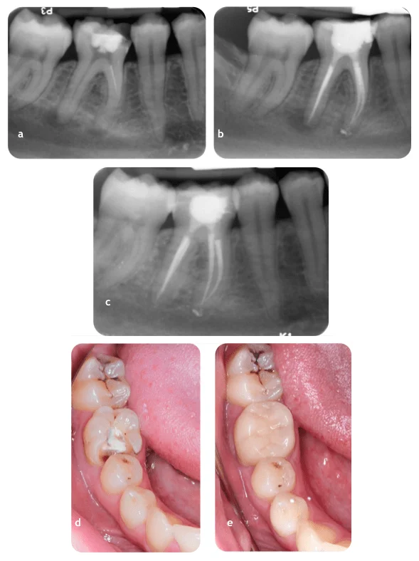
Review of tooth 46 (a) Pre-operative radiograph (b) Postoperative radiograph (c) 1-year review radiograph (d) Pre-operative photograph (e) Postoperative photograph.

Book your endodontic consultation
To book your endodontic consultation, please give us a call on 01189 333 121, email us at reception@oaktreedentalpractice.co.uk, or use the form on the right of this page to send us a message.
Patient Cases
To view our endodontic patient cases, please click here »
Dentist Referral
To make an endodontic referral, please click here »














